Example ImageÃÀ¸ß÷

EN
EN
  • ÓªÒµ×Éѯ

    Öйú£º

    Email: marketing@medicilon.com.cn

    ÓªÒµ×ÉѯרÏߣº400-780-8018

    £¨½öÏÞЧÀÍ×Éѯ£¬£¬£¬£¬£¬£¬ÆäËûÊÂÒËÇ벦´ò´¨É³×ܲ¿µç»°£©

    ´¨É³×ܲ¿µç»°: +86 (21) 5859-1500

    ÍâÑó£º

    +1(781)535-1428(U.S.)

    0044 7790 816 954 (Europe)

    Email:marketing@medicilon.com

ÔÚÏßÁôÑÔ¡Á
µã»÷Çл»
News information
ÐÂÎÅ×ÊѶ

¿ìËÙѪҺ¼ì²â¿Éʶ±ðÖØÖ¢¸ßΣº¦COVID-19»¼Õß

2021-01-20
|
»á¼ûÁ¿£º
COVID-19´óÊ¢ÐÐÏÖÔÚ×îÁîÈËÀ§Èŵķ½ÃæÖ®Ò»ÊÇÒ½ÉúÎÞ·¨Õ¹ÍûÄÄЩÐÂסԺ»¼Õß»á¼ÌÐøÉú³¤³öһЩÑÏÖØ¼²²¡£¡£¡£¡£¡£¬£¬£¬£¬£¬£¬¿ËÈÕʥ·Ò×˹»ªÊ¢¶Ù´óѧҽѧԺµÄ¿ÆÑ§¼ÒÅú×¢£¬£¬£¬£¬£¬£¬Ïà¶Ô¼òÆÓºÍ¿ìËÙµÄѪҺ¼ì²é¿ÉÒÔÔÚÈëÔºÒ»ÌìÖ®ÄÚÕ¹Íûµ½ÄÄЩCOVID-19»¼Õß×îÓпÉÄܱ¬·¢ÑÏÖØ²¢·¢Ö¢»òéæÃü£¬£¬£¬£¬£¬£¬¸ÃÑо¿Éæ¼°½ü100ÃûÐÂÈëÔºµÄCOVID-19»¼Õß¡£¡£¡£¡£¡£

¿ìËÙѪҺ¼ì²â¿Éʶ±ðÖØÖ¢¸ßΣº¦COVID-19»¼Õß

    ÑéѪ¿ÉÒÔÕÉÁ¿ÏßÁ£ÌåDNAµÄˮƽ£¬£¬£¬£¬£¬£¬ÏßÁ£ÌåDNAÊÇÒ»ÖÖÆæÒìµÄDNA·Ö×ÓÀàÐÍ£¬£¬£¬£¬£¬£¬Í¨³£×¤ÁôÔÚϸ°ûµÄÄÜÁ¿¹¤³§ÖС£¡£¡£¡£¡£ÏßÁ£ÌåDNAÒç³öϸ°û²¢½øÈëѪҺ£¬£¬£¬£¬£¬£¬ÕâÅú×¢ÌåÄÚÕýÔÚ±¬·¢Ä³ÖÖÌØ¶¨ÀàÐ͵Äϸ°ûéæÃü¡£¡£¡£¡£¡£

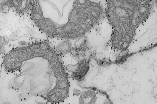
ÏßÁ£ÌåDNAˮƽÊÇ×éÖ¯ËðÉ˵ÄÁ¿¶È¡£¡£¡£¡£¡£Í¼Îª´ÓÈË·ÎÊͷŵÄÊÜËðÏßÁ£Ì壨Éî»ÒÉ«ÇøÓò£©¡£¡£¡£¡£¡£ÏßÁ£ÌåÖÜΧµÄСºÚµãÊÇ´ÅÐÔÖé×Ó£¬£¬£¬£¬£¬£¬ÉÏÃæ´øÓп¹Ì壬£¬£¬£¬£¬£¬ÕâЩ¿¹ÌåÓÃÓÚ¸ôÀëºÍÑо¿ÒÑ´ÓÃÖÁôµÄ×éÖ¯ÖÐÊͷųöÀ´µÄ²»¿µ½¡µÄÏßÁ£Ìå¡£¡£¡£¡£¡£

    £¨Í¼Æ¬ÈªÔ´£ºWandy Beatty£©

    ÏßÁ£ÌåDNAˮƽÊÇ×éÖ¯ËðÉ˵ÄÁ¿¶È¡£¡£¡£¡£¡£Í¼Îª´ÓÈË·ÎÊͷŵÄÊÜËðÏßÁ£Ì壨Éî»ÒÉ«ÇøÓò£©¡£¡£¡£¡£¡£ÏßÁ£ÌåÖÜΧµÄСºÚµãÊÇ´ÅÐÔÖé×Ó£¬£¬£¬£¬£¬£¬ÉÏÃæ´øÓп¹Ì壬£¬£¬£¬£¬£¬ÕâЩ¿¹ÌåÓÃÓÚ¸ôÀëºÍÑо¿ÒÑ´ÓÃÖÁôµÄ×éÖ¯ÖÐÊͷųöÀ´µÄ²»¿µ½¡µÄÏßÁ£Ìå¡£¡£¡£¡£¡£
    Ñо¿Ö°Ô±ÌåÏÖÒ½ÎñÖ°Ô±ÐèÒªÏàʶΪʲôijЩ»¼ÕßÔÚijЩÇéÐÎÏÂ»á½øÈëÕâÖÖ¸ßÑ×Ö¢ÐÔéæÃüÂÝÐý¡£¡£¡£¡£¡£Ñо¿Åú×¢£¬£¬£¬£¬£¬£¬×éÖ¯ËðÉË¿ÉÄÜÊÇÕâÖÖÂÝÐýµÄÔµ¹ÊÔ­ÓÉÖ®Ò»£¬£¬£¬£¬£¬£¬ÓÉÓÚÏßÁ£ÌåDNAÊÇÊͷŵÄ×Ô¼º¾ÍÊÇÒ»ÖÖÑ×Ö¢·Ö×Ó¡£¡£¡£¡£¡£Ñо¿Ö°Ô±Ëµ£¬£¬£¬£¬£¬£¬¸Ã²âÊÔ¿ÉÒÔ×÷ΪչÍû¼²²¡ÑÏÖØË®Æ½µÄÒªÁ죬£¬£¬£¬£¬£¬Ò²¿ÉÒÔ×÷Ϊ¸üºÃµØÉè¼ÆÁÙ´²ÊÔÑéµÄ¹¤¾ß£¬£¬£¬£¬£¬£¬´Ó¶øÈ·¶¨¿ÉÄÜÊÜÒæÓÚÌØ¶¨Ñо¿ÖÎÁÆÒªÁìµÄ»¼Õß¡£¡£¡£¡£¡£
    ÏÖÔÚÑо¿Ö°Ô±ÐèÒª¾ÙÐиü´óµÄÊÔÑéÀ´ÑéÖ¤ÔÚÕâÏîÑо¿Öз¢Ã÷µÄЧ¹û£¬£¬£¬£¬£¬£¬µ«ÈôÊÇÄܹ»ÔÚ»¼ÕßÈëÔºµÄ×î³õ24СʱÄÚÈ·¶¨ËûÃÇÊÇ·ñÐèҪ͸Îö¡¢²å¹Ü»òÒ©ÎïÖÎÁÆÒÔ±ÜÃâѪѹϽµµÃÌ«µÍ£¬£¬£¬£¬£¬£¬ÄÇÕ⽫¸Ä±ä¶Ô»¼Õß¾ÙÐзÖÀàµÄ·½·¨£¬£¬£¬£¬£¬£¬²¢ÇÒ¿ÉÄÜ»á¸Ä±äÔçÆÚÖÎÁƵķ½·¨¡£¡£¡£¡£¡£
    Ñо¿Ö°Ô±ÔڰͶ÷˹ÓÌ̫ҽԺÆÀ¹ÀÁË97ÀýCOVID-19»¼ÕßסԺµÚÒ»ÌìµÄÏßÁ£ÌåDNAˮƽ¡£¡£¡£¡£¡£ËûÃÇ·¢Ã÷£¬£¬£¬£¬£¬£¬×îÖÕ½øÈëICU¡¢¾­²å¹Ü»òéæÃüµÄ»¼ÕßµÄÏßÁ£ÌåDNAˮƽҪ¸ßµÃ¶à¡£¡£¡£¡£¡£Ñо¿Ö°Ô±·¢Ã÷ÕâÖÖ¹ØÁªÓ뻼ÕßµÄÄêËê¡¢ÐÔ±ðºÍ»ù±¾¿µ½¡×´Ì¬Î޹ء£¡£¡£¡£¡£Æ½¾ù¶øÑÔ£¬£¬£¬£¬£¬£¬»¼ÓÐÑÏÖØ·Î¹¦Ð§Õϰ­»ò×îÖÕéæÃüµÄCOVID-19»¼ÕßµÄÏßÁ£ÌåDNAˮƽºá¿çԼʮ±¶¡£¡£¡£¡£¡£Óë½ÏµÍˮƽµÄÈËÏà±È£¬£¬£¬£¬£¬£¬Ë®Æ½½Ï¸ßµÄÈ˱»²å¹ÜµÄ¼¸Âʺá¿çÁù±¶£¬£¬£¬£¬£¬£¬±»ËÍÈëICUµÄ¿ÉÄÜÐÔ¸ßÈý±¶£¬£¬£¬£¬£¬£¬¶øéæÃüµÄ¼¸ÂÊÏÕЩÊÇÁ½±¶¡£¡£¡£¡£¡£
    ϸ°ûÆÆËéºóÊͷųö°üÀ¨ÏßÁ£ÌåDNAÔÚÄÚµÄÄÚÈÝÎ£¬£¬£¬£¬£¬¶øÏßÁ£ÌåDNA×Ô¼º»áÇý¶¯Ñ×Ö¢¡£¡£¡£¡£¡£ÔÚCOVID-19»¼ÕßÖУ¬£¬£¬£¬£¬£¬ÓÐÖ¤¾ÝÅú×¢ÔڷΡ¢ÐÄÔàºÍÉöÔàÖÐÕâÖÖÀàÐ͵Äϸ°ûºÍ×éÖ¯Êܵ½Ë𺦡£¡£¡£¡£¡£Ñо¿Ö°Ô±ÒÔΪѪҺÖÐÏßÁ£ÌåDNAµÄÁ¿¶È¿ÉÄÜÊÇÖ÷ÒªÆ÷¹Ùϸ°ûéæÃüµÄÔçÆÚ¼£Ï󡣡£¡£¡£¡£
    Ñо¿Ö°Ô±»¹Ç¿µ÷˵£¬£¬£¬£¬£¬£¬¸Ã²âÊÔÔÚ´ó´ó¶¼Ò½ÔºÇéÐÎÖж¼¿ÉÒÔ¿ìËÙÖ±½ÓµØÖ´ÐУ¬£¬£¬£¬£¬£¬ÓÉÓÚËüʹÓõÄÊÇÓë´¦Öóͷ£COVID-19 PCR²âÊÔ±ê×¼ÏàͬµÄ×°±¸¡£¡£¡£¡£¡£Ñо¿Ö°Ô±¿ª·¢µÄÒªÁìÔÊÐíÖ±½ÓÔÚѪҺÖж¨Á¿ÏßÁ£ÌåDNAµÄˮƽ£¬£¬£¬£¬£¬£¬²»ÐèÒªÖÐÐİ취¾Í¿ÉÒÔ´ÓѪҺÖÐÌáÈ¡DNA£¬£¬£¬£¬£¬£¬¸Ã¼¼ÊõÔÚ²»µ½Ò»¸öСʱµÄʱ¼äÄھͿÉÒÔ»ñµÃЧ¹û¡£¡£¡£¡£¡£

    ¹ØÓÚÃÀ¸ß÷

    ÃÀ¸ß÷£¨¹ÉƱ´úÂ룺688202£©½¨ÉèÓÚ2004Ä꣬£¬£¬£¬£¬£¬×ܲ¿Î»ÓÚÉϺ££¬£¬£¬£¬£¬£¬ÖÂÁ¦ÓÚΪȫÇòÖÆÒ©ÆóÒµ¡¢Ñо¿»ú¹¹¼°¿ÆÑÐÊÂÇéÕßÌṩȫ·½Î»µÄÁÙ´²Ç°ÐÂÒ©Ñо¿Ð§ÀÍ¡£¡£¡£¡£¡£ÃÀ¸ß÷µÄһվʽ×ÛºÏЧÀÍÒÔÇ¿ÓÐÁ¦µÄÏîÄ¿¹ÜÀíºÍ¸ü¸ßЧ¡¢¸ßÐԼ۱ȵÄÑз¢Ð§ÀÍÖúÁ¦¿Í»§¼ÓËÙÐÂÒ©Ñз¢Àú³Ì£¬£¬£¬£¬£¬£¬Ð§Àͺ­¸ÇÒ½Ò©ÁÙ´²Ç°ÐÂÒ©Ñо¿µÄÈ«Àú³Ì£¬£¬£¬£¬£¬£¬°üÀ¨Ò©Îï·¢Ã÷¡¢Ò©Ñ§Ñо¿¼°ÁÙ´²Ç°Ñо¿¡£¡£¡£¡£¡£ÃÀ¸ß÷Ó뺣ÄÚÍâÓÅÖʿͻ§ÅäºÏÉú³¤£¬£¬£¬£¬£¬£¬ÎªÈ«ÇòÁè¼Ý700¼Ò¿Í»§ÌṩÐÂÒ©Ñз¢Ð§ÀÍ£¬£¬£¬£¬£¬£¬ÃÀ¸ß÷½«¼ÌÐø×¤×ãÈ«ÇòÊÓÒ°£¬£¬£¬£¬£¬£¬¾ÛÁ¦ÖйúÁ¢Ò죬£¬£¬£¬£¬£¬ÎªÈËÀ࿵½¡Ð¢Ë³ÊµÁ¦£¡


ÁªÏµÃÀ¸ß÷
Email: marketing@medicilon.com.cn
µç»°: +86 (21) 5859-1500£¨×Ü»ú£©                

Ïà¹ØÐÂÎÅ
COVID-19£º²¡¶¾Ò»Ö±Í»±ä£¬£¬£¬£¬£¬£¬ÃÀ¸ß÷ÒßÃçÉÐÓÐÓÃÂ𣿠£¿£¿
2021-01-25
COVID-19µÄ½üÆÚ²¡¶¾Í»±ä¿ÉÄÜ»áÔÚÒ»¶¨Ë®Æ½ÉÏÒÖÖÆÄ¿½ñÁ½ÖÖÒßÃçµÄÓÐÓÃÐÔ£¬£¬£¬£¬£¬£¬Ñо¿Ö°Ô±¿ËÈÕ¶ÔÕâÒ»ÆðÔ´·¢Ã÷ÌåÏÖ¹Ø×¢£¬£¬£¬£¬£¬£¬ÓÉÓÚÕâÔںܺéÁ÷ƽÉÏÒ²Õ¹ÍûÁËδÀ´µÄÍ»±ä¿ÉÄÜÆÆËðÒßÃçµÄÓÐÓÃÐÔ¡£¡£¡£¡£¡£¸ÃÑо¿²âÊÔÁËÀ´×ÔÓ¢¹ú¡¢ÄϷǺͰÍÎ÷µÄ¹Ú×´²¡¶¾£¬£¬£¬£¬£¬£¬²¢ÓÉŦԼÂå¿Ë·ÆÀÕ´óѧÓëÃÀ¹ú¹úÁ¢ÎÀÉúÑо¿ÔºµÈÆäËûµØ·½µÄ¿ÆÑ§¼ÒÅäºÏÏòµ¼¡£¡£¡£¡£¡£








¡°¾ÈÃß¶÷ÈË¡±ÍʺÚËØÏÖÔÚ¾¹³ÉÁËCOVID-19»¼Õߵġ°¾ÈÃü¶÷ÈË¡±£¡
2020-11-19
ÍʺÚËØÊÇ´óÄÔËɹûÌ屬·¢µÄÒ»ÖÖ¼¤ËØ£¬£¬£¬£¬£¬£¬¿ÉÒÔ½«Æä×÷ΪһÖÖ×ÔÈ»»òºÏ³ÉµÄÔö²¹¼ÁÀ´Ôö½øË¯Ãß¡£¡£¡£¡£¡£Ñо¿Ö°Ô±Ê¹ÓÃÍøÂçҽѧÊÓ²ìЧ¹ûºÍ´óÐÍCOVID-19»¼Õß×¢²áÊý¾Ý¿âÖеϼÕßÊý¾ÝÀ´Ê¶±ðÏÖÓеÄFDAÅú×¼µÄÒ©Îﲢȷ¶¨ÆäÓÅÏȼ¶£¬£¬£¬£¬£¬£¬½«Æä×÷ΪDZÔÚµÄCOVID-19ºòѡҩÎ£¬£¬£¬£¬£¬¸ÃÑо¿Åú×¢ÍʺÚËØÊÇÓÐÏ£ÍûµÄºòѡҩÎï¡£¡£¡£¡£¡£
¡¾ScienceËٵݡ¿¹¥¿ËCOVID-19Àï³Ì±®£ºÒÑÈ·¶¨ÑªÄý¿éÐγÉÔµ¹ÊÔ­ÓÉ£¡
2020-11-15
COVID-19»¼Õß±£´æÑªË¨ÐÔ¶¯ÂöºÍ¾²ÂöÛձյĸßΣº¦£¬£¬£¬£¬£¬£¬SARS-CoV-2ѬȾ¿Éͨ¹ý¶àÖÖ¿ÉÄܵÄЭͬ»úÖÆµ¼Ö´óѪ¹ÜºÍ΢Ѫ¹ÜѪ˨ÐγÉ¡£¡£¡£¡£¡£Ñо¿Ö°Ô±ÔÚСÊóÄ£×ÓÖÐÒ»ÆðÑо¿ÁËÖÐÐÔÁ£Ï¸°ûºÍCOVID-19¿¹Ì壬£¬£¬£¬£¬£¬ÒÔÉó²éÕâÊÇ·ñ¿ÉÄÜÊÇѪ¿é±³ºóµÄΣÏÕ×éºÏ£¬£¬£¬£¬£¬£¬×îÖÕ·¢Ã÷ÁËʹCOVID-19µÄ»¼ÕßѪÄýµÄ»úÖÆ¡£¡£¡£¡£¡£
¡Á
ËÑË÷ÑéÖ¤
µã»÷Çл»
¡¾ÍøÕ¾µØÍ¼¡¿¡¾sitemap¡¿