ÃÀ¸ß÷ÁÙ´²Ç°ÑÛ¿ÆÑо¿Æ½Ì¨
ÃÀ¸ß÷ÁÙ´²Ç°ÑÛ¿ÆÑо¿Æ½Ì¨ÜöÝÍÁËÏȽøµÄ¸øÒ©¼¼ÊõºÍÆÊÎöÊֶΣ¬£¬£¬£¬£¬ÓÅÒìµÄÒÇÆ÷×°±¸ÒÔ¼°ÂÄÀú¸»ºñµÄÑз¢ÍŶӣ¬£¬£¬£¬£¬Îª±£´æÑÛ¿ÆÒ©Î↑·¢ÐèÇóµÄ¿Í»§ÌṩÓÅÖʸßЧµÄÊÔÑéÑо¿Ð§ÀÍÒÔ¼°×¨ÒµµÄ×¢²áÉ걨֧³ÖºÍÏîÄ¿¹ÜÀíЧÀÍ¡£¡£¡£¡£

1 ÌØÊâµÄÑÛ²¿ÇòÄÚ¸øÒ©¼¼Êõ
ÃÀ¸ß÷ÁÙ´²Ç°ÑÛ¿ÆÑо¿Æ½Ì¨Å䱸ÓÐÏȽøµÄÑÛ¿ÆÊÖÊõÏÔ΢¾µ£¬£¬£¬£¬£¬³ýÁËͨÀýµÄµÎÑÛ£¬£¬£¬£¬£¬ÑÛ¸à¸øÒ©Í⣬£¬£¬£¬£¬»¹¿ÉÒÔʵÏÖ¶ÔÍᢹ·¡¢Ð¡ÐÍÖí¼°·ÇÈËÁ鳤ÀàµÈ¶¯ÎïÖÖÊôʵÏÖÆæÒìµÄϸÄå¸øÒ©¡£¡£¡£¡£ÎÒÃÇÆæÒìµÄ¸øÒ©·½·¨°üÀ¨£º
ÊÓÍøÄ¤ÏÂ×¢É䣻£»£»£»£»£»
ÂöÂçĤעÉ䣻£»£»£»£»£»
²£Á§ÌåÄÚ×¢Éä¡£¡£¡£¡£

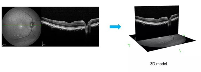
2 ÍêÉÆµÄÒÇÆ÷¼ì²âϵͳ
ÑÛ¿ÆÒ©ÎïµÄÑо¿¼°ÁÙ´²Ç°ÆÀ¼ÛµÄÖØµãºÍÄѵãÔÚÓÚʹÓÃÊʵ±µÄ×°±¸ºÍÒÇÆ÷¶ÔʵÑ鶯ÎïµÄÑÛ²¿¾ÙÐÐϸÄ廯µÄ²Ù×÷ºÍ¼ì²â¡£¡£¡£¡£ÃÀ¸ß÷ÑÛ¿ÆÑо¿ÍŶÓʹÓöàÄêµÄ¸»ºñʵ¼ùÂÄÀúºÍÏȽø×°±¸£¬£¬£¬£¬£¬½â¾ö¿Í»§¹ØÓÚÑÛ¿ÆÑо¿µÄÖÖÖÖÖØ´óÎÊÌ⣬£¬£¬£¬£¬×¨×¢Ï¸½Ú£¬£¬£¬£¬£¬°Ñ¿ØÖÊÁ¿£¬£¬£¬£¬£¬Îª¿Í»§ÌṩÎȹÌÓÅÖʵÄÑо¿Ð§ÀÍ¡£¡£¡£¡£
º£µÂ±¤¼¤¹âÑÛ¿ÆÕï¶ÏÒÇ
SPECTRALIS?HRA + OCT

SPECTRALIS?HRA + OCTÊǾßÓÐ×îпÉÉý¼¶Ä£¿£¿£¿£¿éÉè¼ÆµÄÑۿƳÉÏñƽ̨¡£¡£¡£¡£ÎÒÃÇʹÓøÃϵͳ¿ÉÒÔ×ÊÖú¿Í»§Íê³ÉʵÑ鶯ÎïµÄÑÛµ×Ó«¹âѪ¹ÜÔìÓ°ºÍ¹âѧÏà¹Ø¶Ï²ãɨÃè¡£¡£¡£¡£¸Ãϵͳ¿ÉÒÔÍê³ÉµÄÏêϸ¼ì²âÏîÄ¿ÓУº
ºìÍâ·øÉäͨË×Ñ۵׳ÉÏñ
ÎÞºìÍâRFÑ۵׳ÉÏñ
ÑÛµ×Ó«¹âÔìÓ°£¨FFA£©
¹âѧÏà¹Ø¶Ï²ãɨÃ裨OCT£©
С¶¯ÎïÑۿƳÉÏñ

¡÷ºïË«ÑÛÑÛµ×ÕÕÏà

¡÷²î±ðʱÆÚµÄÑÛµ×Ó«¹âÔìÓ°£¨FA£©

¡÷ºïÑ۵Ĺâѧ¶Ï²ãÏà¹ØÉ¨Ã裨OCT£©
ÂÞÀ¼ÑÛµçÐÄÀíÕï¶Ïϵͳ
RETI-port/scan 21

¸ÃϵͳӦÓÃÓÚ¼ì²âÑۿƵçÐÄÀíÏîÄ¿£¬£¬£¬£¬£¬ÀýÈçÊÓÍøÄ¤µçͼ£¨ERG£©¡¢ÊÓ¾õÓÕ·¢µç루VEP£©¡¢ÑÛµçͼ£¨EOG£©µÈ¡£¡£¡£¡£

¡÷ÑÛµçÐÄÀíÏîÄ¿²¿·ÖʵÑéЧ¹ûչʾ
ÑÛµ×ÕÕÏàÒÇÆ÷×°±¸
£¨²ÊÉ«ÑÛµ×ÕÕÏࣩ

ÆäËûÑÛ¿ÆÒÇÆ÷

ÃÀ¸ß÷ÍêÉÆµÄÑÛ²¿¼ì²âϵͳ»¹°üÀ¨ÉèÖÃÊýÂëÏà»úϵͳµÄÁÑ϶µÆ£¬£¬£¬£¬£¬ÑÛѹ¼Æ£¬£¬£¬£¬£¬ÑÛµ×¼¤¹âÒÇ£¬£¬£¬£¬£¬¼ä½Ó¼ìÑÛ¾µ£¬£¬£¬£¬£¬ÑÛ¿ÆÊÖÊõÏÔ΢¾µµÈ¡£¡£¡£¡£
3 ÑÛ²¿¼²²¡µÄ¶¯ÎïÄ£×Ó
½áĤ×éÖ¯ÔöÉúºÍÐÂѪ¹ÜÔöÉú£¨Conjunctival tissue proliferation and NV£©£»£»£»£»£»£»
ÌÇÄò²¡ÐÔÊÓÍøÄ¤²¡±ä (DR)£»£»£»£»£»£»
ÂöÂçĤÐÂÉúѪ¹ÜÔöÉú (CNV) ºÍÊÓÍøÄ¤ÏÂÏËά»¯£»£»£»£»£»£»
½ÇĤÐÂÉúѪ¹Ü£¨Corneal NV£©£»£»£»£»£»£»
ÊÓÍøÄ¤ÐÂÉúѪ¹ÜÔöÉú£»£»£»£»£»£»
¼±ÐÔÑÛ²¿Ñ×֢ģ×Ó£»£»£»£»£»£»
¸ÉÑÛÖ¢£»£»£»£»£»£»
......
ÃÀ¸ß÷ÁÙ´²Ç°ÑÛ¿ÆÑо¿Æ½Ì¨»¶ÓÁÐλµÄ´¹Ñ¯£¬£¬£¬£¬£¬»ñÈ¡¸ü¶àÐÅÏ¢Ç룺
Öµç +021-58591500
»ò»á¼û¹ÙÍø www.medicilon.com.cn¡£¡£¡£¡£

·ÖÏíµ½£º