Example ImageÃÀ¸ß÷

EN
EN
  • ÓªÒµ×Éѯ

    Öйú£º

    Email: marketing@medicilon.com.cn

    ÓªÒµ×ÉѯרÏߣº400-780-8018

    £¨½öÏÞЧÀÍ×Éѯ£¬£¬£¬£¬£¬£¬ÆäËûÊÂÒËÇ벦´ò´¨É³×ܲ¿µç»°£©

    ´¨É³×ܲ¿µç»°: +86 (21) 5859-1500

    ÍâÑó£º

    +1(781)535-1428(U.S.)

    0044 7790 816 954 (Europe)

    Email:marketing@medicilon.com

ÔÚÏßÁôÑÔ¡Á
µã»÷Çл»
News information
ÐÂÎÅ×ÊѶ

Science£º¡°°©Íõ¡±ÒÈÏÙ°©ÖÕÓÚ·ºÆðÁËÖÎÁÆÐÂÊï¹â

2021-01-04
|
»á¼ûÁ¿£º
±öϦ·¨ÄáÑÇ´óѧÅåÀ×¶ûÂüҽѧԺµÄ¿ÆÑ§¼Ò¾ÙÐеÄÒ»ÏîÐÂÑо¿ÏÔʾ£¬£¬£¬£¬£¬£¬ÔÚÐí¶àÒÈÏÙÖ×ÁöµÄÉú³¤Öо­³£±¬·¢µÄDNAÍ»±äËÆºõʹÕâЩ°©Ö¢Ò×ÊܳÆÎªPARPÒÖÖÆ¼ÁµÄÏÖÓÐÒ©ÎïµÄ¹¥»÷¡£¡£¡£
¸Ã·¢Ã÷¿ËÈÕ½ÒÏþÔÚÁË¡¶¿ÆÑ§Ï£Íû¡·ÉÏ¡£¡£¡£Ñо¿Åú×¢£¬£¬£¬£¬£¬£¬ÔÚ×î³£¼ûµÄÒÈÏÙÖ×ÁöÀàÐÍÖУ¬£¬£¬£¬£¬£¬¶à´ïÈý·ÖÖ®¶þµÄ»¼Õß²¡ÀýÔÚÖ×Áöϸ°ûÖÐȱʧÁ˸ûùÒòµÄÒ»¸ö¿½±´¡£¡£¡£±öϦ·¨ÄáÑÇ´óѧµÄ¿ÆÑ§¼Ò·¢Ã÷£¬£¬£¬£¬£¬£¬Ö»¹ÜÕâÖÖɾ³ýËÆºõÓÐÖúÓÚÖ×ÁöÉú³¤£¬£¬£¬£¬£¬£¬µ«Ö×Áöϸ°ûÖÐMYBBP1AÊ£Ó࿽±´µÄɥʧȴ¾ßÓÐÏà·´µÄ×÷Ó㬣¬£¬£¬£¬£¬´Ó¶ø´ó´ó½µµÍÁËϸ°ûµÄÉú³¤¡£¡£¡£

Science£º¡°°©Íõ¡±ÒÈÏÙ°©ÖÕÓÚ·ºÆðÁËÖÎÁÆÐÂÊï¹â

¸ÃС×éͨ¹ýÔÚÒÈÏÙ°©Ï¸°ûºÍСÊóÄ£×ÓÖоÙÐеÄʵÑé֤ʵ£¬£¬£¬£¬£¬£¬ËûÃÇ¿ÉÒÔʹÓóÆÎªPARP1ÒÖÖÆ¼ÁµÄÏÖÓÐÒ©ÎïÖеÄijЩ³ÉÔ±À´Ê¹ÓôËÎó²î£¬£¬£¬£¬£¬£¬ÕâÖÖÒ©Îï¿ÉÒÔÔÚMYBBP1AÂѰ׵ÄˮƽÒѾ­ºÜµÍʱʹÆäʧ»î¡£¡£¡£ÏÖÔÚ£¬£¬£¬£¬£¬£¬PARP1ÒÖÖÆ¼ÁÖ÷ÒªÓÃÓÚÖÎÁÆÂѳ²°©ºÍÈéÏÙ°©¡£¡£¡£
ϸ°ûÓë·¢Óýѧ½ÌÊÚ¿ÏÄá˹¡¤ÔúÀ×ÌØ£¨Kenneth Zaret£©²©Ê¿ÌåÏÖ£¬£¬£¬£¬£¬£¬Ä³ÖÖÀàÐ͵ÄDNAȱʧÔÚÒÈÏÙ°©Öо­³£±¬·¢£¬£¬£¬£¬£¬£¬ËûÃÇÔÚϸ°ûºÍ¶¯ÎïʵÑéÖз¢Ã÷£¬£¬£¬£¬£¬£¬ÕâÖÖDNAȱʧʹÕâЩ°©Ö¢¶ÔÒÑÓÐÒ©ÎïÓÐÑ¡ÔñÐÔµÄÃô¸ÐÐÔ¡£¡£¡£ÕâÊÇÒ»¸öÁîÈËÕñ·ÜµÄ·¢Ã÷£¬£¬£¬£¬£¬£¬ÓÉÓÚÏÖÔÚûÓÐÕë¶ÔÒÈÏÙ°©µÄ¸ßЧÖÎÁÆÒªÁ죻£»£»£»£»£»²¢ÇÒ£¬£¬£¬£¬£¬£¬¸ÃÒªÁìÔ­ÔòÉÏ¿ÉÒÔÓÃÓÚѰÕÒÆäËû¾ßÓÐDNAÈ±Ê§ÌØÕ÷µÄ°©Ö¢µÄÐÂÖÎÁÆÒªÁì¡£¡£¡£

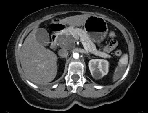
ÒÈÍ·°©ºÍÄÒÏÙ°©¾ßÓÐiv±ÈÕնȵÄÖáÏòCTͼÏñ£¨Í¼Æ¬ÈªÔ´:Science£©

ÒÈÍ·°©ºÍÄÒÏÙ°©¾ßÓÐiv±ÈÕնȵÄÖáÏòCTͼÏñ£¨Í¼Æ¬ÈªÔ´:Science£©

ÃÀ¹ú°©Ö¢Ð­»áÔ¤¼Æ£¬£¬£¬£¬£¬£¬Ã¿ÄêÔÚÃÀ¹úÓпìÒª 60,000 È˱»Õï¶Ï»¼ÓÐÒÈÏÙ°©£¬£¬£¬£¬£¬£¬ÆäÖнü 50,000 ÈËËÀÓÚÕâЩ°©Ö¢¡£¡£¡£ÒÈÏÙ°©µÄÖÎÓúÂʺÜÊǵÍ£¬£¬£¬£¬£¬£¬Ö÷ÒªÊÇÓÉÓÚÕâЩ°©Ö¢ÍùÍù½öÔÚÍíÆÚ×îÏÈÔÚÌåÄÚÀ©É¢Ê±²Å±»·¢Ã÷£¬£¬£¬£¬£¬£¬²¢ÇÒ¶Ô»¯Ñ§ÁÆ·¨ºÍÆäËûÁÆ·¨¾ßÓÐÏà¶ÔµÄ¶Ô¿¹Á¦£¬£¬£¬£¬£¬£¬Òò´ËÆÈÇÐÐèÒª¸üºÃµÄÒÈÏÙ°©ÖÎÁÆÒªÁì¡£¡£¡£
ÒÈÏÙ°©¡¢ÒȹÜÏÙ°©»ò PDAC ÊÇ×î³£¼ûµÄÐÎʽ£¬£¬£¬£¬£¬£¬Í¨³£¾ßÓв¿·Öɾ³ý 17 ºÅȾɫÌåµÄÌØÕ÷¡£¡£¡£ÈËÀàϸ°û¾ßÓÐ 22 ¶ÔȾɫÌåÒÔ¼°XºÍYÐÔȾɫÌå¡£¡£¡£ÔÚ PDAC ÖÐɥʧÁËµÚ 17 ºÅȾɫÌåÒ»¸ö¿½±´µÄÒ»²¿·Ö£¬£¬£¬£¬£¬£¬Òâζ×ÅλÓÚ¸ÃȾɫÌåÉϵÄÐí¶à»ùÒò½öÊ£ÏÂÒ»¸ö¿½±´£¬£¬£¬£¬£¬£¬Òò´ËÕâЩ»ùÒò±àÂëµÄÂѰ×ÖÊˮƽ½µµÍÁË¡£¡£¡£Õâ×îÖÕ»áÔö½øÊÜÓ°ÏìµÄ°©Ï¸°ûµÄÉú³¤£¬£¬£¬£¬£¬£¬²¿·ÖÔµ¹ÊÔ­ÓÉÊÇÊÜÓ°ÏìµÄÂѰ×ÖÊÖ®Ò»ÊÇÖ×ÁöÒÖÖÆÎï P53£¬£¬£¬£¬£¬£¬Ëüͨ³£¿£¿£¿£¿£¿É×÷ΪǿʢµÄ¹ÊÕÏÇå¾²¿ª¹Ø£¬£¬£¬£¬£¬£¬±ÜÃâϸ°ûÌ«¹ýÆÆËé¡£¡£¡£
ZaretʵÑéÊÒµÄÃÀ¹ú賦²¡Ñ§²©Ê¿ºóÑо¿Ô± Antony Hsieh ²©Ê¿ÔÚÑо¿Ê±´úÏëÖªµÀ£¬£¬£¬£¬£¬£¬ÕâЩ 17 ºÅȾɫÌåȱʧÖÐÆäËû»ùÒòµÄɥʧÊÇ·ñ»áʹ PDAC ϸ°û±äµÃųÈõ£¬£¬£¬£¬£¬£¬´Ó¶ø¿ÉÒÔʹÓÃδÀ´»òÏÖÓеÄÒ©Îï¾ÙÐпª·¢¡£¡£¡£Ëû×îÖÕÑ¡ÔñÁË MYBBP1A¡£¡£¡£
Hsieh¼°ÆäͬÊ·¢Ã÷£¬£¬£¬£¬£¬£¬ÔÚȱʧ 17ºÅ ȾɫÌåµÄ PDAC ϸ°ûÖУ¬£¬£¬£¬£¬£¬MYBBP1A µÄÒ»¸ö¿½±´É¥Ê§£¬£¬£¬£¬£¬£¬Ê¹Ï¸°ûÔ½·¢°©±ä£¬£¬£¬£¬£¬£¬´Ó¶øÔöÌíÁË P53 ²¿·ÖɥʧµÄ´ÙÉú³¤×÷Óᣡ£¡£ÁíÒ»·½Ã棬£¬£¬£¬£¬£¬¿ÆÑ§¼Ò·¢Ã÷£¬£¬£¬£¬£¬£¬Ê¹ÓûùÒò¹¤³Ì¼¼Êõʹ MYBBP1A µÄÆäÓ࿽±´Ê§»î£¬£¬£¬£¬£¬£¬ÓÐÓõØ×èÖÍÁË PDAC ϸ°û°©ÐÔÉú³¤µÄɲ³µ¡£¡£¡£
ͨ¹ý»ØÊ×ÉúÎïѧÎÄÏײ¢¾ÙÐÐ×Ô¼ºµÄʵÑ飬£¬£¬£¬£¬£¬¿ÆÑ§¼Ò»¹·¢Ã÷ MYBBP1A ÂѰ××÷ÓÃÓÚϸ°ûºË DNA ÉÏ£¬£¬£¬£¬£¬£¬ÒÔÔö½øÉú³¤»ùÒòµÄ»îÐÔ£¬£¬£¬£¬£¬£¬²¢Óë³ÆÎª PARP1 ÂѰ׵ÄÂѰ×ϸÃÜÏ໥×÷Óᣡ£¡£ÕâÌåÏÖÁËÖÎÁƵÄʱ»ú£¬£¬£¬£¬£¬£¬ÓÉÓÚÑо¿Ö°Ô±×î½ü¿ª·¢ÁËÒ»ÖÖ³ÆÎª PARP1 ÒÖÖÆ¼ÁµÄ¿¹°©Ò©Îï¡£¡£¡£
PARP1 ÒÖÖÆ¼Á±»Åú×¼ÓÃÓÚÖÎÁÆÈéÏÙ°©ºÍÂѳ²°©£¬£¬£¬£¬£¬£¬Æä×÷ÓûúÀíÓë MYBBP1A Î޹ء£¡£¡£¿ÉÊÇ£¬£¬£¬£¬£¬£¬Ä³Ð© PARP1 ÒÖÖÆ¼ÁËÆºõÊÇͨ¹ý½« PARP1 ÂѰײ¶»ñÔÚϸ°ûºËÖоíÇúµÄ DNAÉ϶ø²¿·ÖÆð×÷Óõġ£¡£¡£ÕýÈç Penn Medicine С×é·¢Ã÷µÄÄÇÑù£¬£¬£¬£¬£¬£¬ÒÔÕâÖÖ·½·¨²¶»ñPARP1 µÄ PARP1 ÒÖÖÆ¼Á£¨¼´Ò©Îï olaparib ºÍ niraparib£©´ÓȾɫÌåÉÏÇãÔþÁ˲ÐÁôÁ¿µÄ MYBBP1A ÂѰ×£¬£¬£¬£¬£¬£¬´Ó¶øÆÆËðÁËÆäÔÚϸ°ûºËÖеÄÉú³¤Ôö½ø¹¦Ð§¡£¡£¡£ÔÚ¾ßÓÐÁ½¸ö MYBBP1A »ùÒòµÄÊÂÇ鿽±´ºÍ¸»×ãµÄ MYBBP1A ÂѰ׹©Ó¦µÄϸ°ûÖУ¬£¬£¬£¬£¬£¬ÕâЩҩÎïËÆºõÎÞЧ¡£¡£¡£¿ÉÊÇÔÚɥʧÁËÒ»·Ý MYBBP1A ¿½±´µÄ PDAC ϸ°ûÖУ¬£¬£¬£¬£¬£¬ÕâЩҩÎï¾ßÓÐÖÕÖ¹Éú³¤µÄ×÷Ó㬣¬£¬£¬£¬£¬ÀýÈçÍêÈ«Çóý MYBBP1A »ùÒò¡£¡£¡£
¸ÃÍŶÓÔÚʹÓà PDAC ϸ°ûµÄʵÑéÃóʵÑéÖÐ֤ʵÎúÕâÒ»µã£¬£¬£¬£¬£¬£¬²¢Åú×¢£¬£¬£¬£¬£¬£¬ÔÚÒÆÖ²ÁËȱÉÙÒ»¸öMYBBP1A ¿½±´µÄÈË PDAC ϸ°ûµÄСÊóÖУ¬£¬£¬£¬£¬£¬Óà olaparib ÖÎÁÆÐ¡ÊóµÄÖ×ÁöÒª±Èδ¾­ÖÎÁƵÄδ¾­ÒÆÖ²µÄСÊóСµÃ¶à¡£¡£¡£
Ч¹ûÅú×¢£¬£¬£¬£¬£¬£¬°ÂÀ­ÅÁÄáºÍÄáÀ­ÅÁÀû²¼¿ÉÄܶԳÉǧÉÏÍòÀýÒÈÏÙÖ×Áöϸ°û½öº¬ÓÐÒ»·ÝMYBBP1A µÄ»¼Õß¾ßÓÐʵÖÊÐÔÒæ´¦Ñо¿Ö°Ô±Ï£ÍûÕâЩ·¢Ã÷¿ÉÒÔÃãÀøÆäËûÈ˽«°©Ö¢ÖÐÒÅ´«ÎïÖʵÄËðʧÊÓΪ¿ª·¢Õë¶ÔÕâЩ°©Ö¢µÄвßÂÔµÄʱ»ú¡£¡£¡£
Ñо¿Ö°Ô±½«Í¨¹ý½øÒ»²½µÄÁÙ´²Ç°ÊµÑéÒÔ¼°¾ÙÐÐ PARP1 ÒÖÖÆ¼ÁÔÚÑ¡¶¨µÄÒÈÏÙ°©»¼ÕßÖеÄÁÙ´²ÊÔÑ飬£¬£¬£¬£¬£¬ÒÔ¼ÓËÙÆä PARP1 ÒÖÖÆ¼Á²ßÂԵĿª·¢¡£¡£¡£×÷ΪÕâÏîÊÂÇéµÄÒ»²¿·Ö£¬£¬£¬£¬£¬£¬¿ÆÑ§¼ÒÃÇÕýÔÚÓëҽѧ²©Ê¿ Kojo Elenitoba-Johnson £¬£¬£¬£¬£¬£¬±öϦ·¨ÄáÑÇ´óѧҽѧ²©Ê¿ Peter C. Nowell ½ÌÊÚÒÔ¼°±öϦ·¨ÄáÑÇÖݸöÐÔ»¯Õï¶ÏÖÐÐÄÖ÷ÈÎÏàÖú£¬£¬£¬£¬£¬£¬¿ª·¢Ò»ÖÖÄܹ»Õ¹ÏÖÒÈÏÙ°©»¼ÕߺÎʱ»¼²¡µÄÕï¶Ï²âÊÔ¡£¡£¡£

¹ØÓÚÃÀ¸ß÷

ÃÀ¸ß÷£¨¹ÉƱ´úÂ룺688202£©½¨ÉèÓÚ2004Ä꣬£¬£¬£¬£¬£¬×ܲ¿Î»ÓÚÉϺ££¬£¬£¬£¬£¬£¬ÖÂÁ¦ÓÚΪȫÇòÖÆÒ©ÆóÒµ¡¢Ñо¿»ú¹¹¼°¿ÆÑÐÊÂÇéÕßÌṩȫ·½Î»µÄÁÙ´²Ç°ÐÂÒ©Ñо¿Ð§ÀÍ¡£¡£¡£ÃÀ¸ß÷µÄһվʽ×ÛºÏЧÀÍÒÔÇ¿ÓÐÁ¦µÄÏîÄ¿¹ÜÀíºÍ¸ü¸ßЧ¡¢¸ßÐԼ۱ȵÄÑз¢Ð§ÀÍÖúÁ¦¿Í»§¼ÓËÙÐÂÒ©Ñз¢Àú³Ì£¬£¬£¬£¬£¬£¬Ð§Àͺ­¸ÇÒ½Ò©ÁÙ´²Ç°ÐÂÒ©Ñо¿µÄÈ«Àú³Ì£¬£¬£¬£¬£¬£¬°üÀ¨Ò©Îï·¢Ã÷¡¢Ò©Ñ§Ñо¿¼°ÁÙ´²Ç°Ñо¿¡£¡£¡£ÃÀ¸ß÷Ó뺣ÄÚÍâÓÅÖʿͻ§ÅäºÏÉú³¤£¬£¬£¬£¬£¬£¬ÎªÈ«ÇòÁè¼Ý700¼Ò¿Í»§ÌṩÐÂÒ©Ñз¢Ð§ÀÍ£¬£¬£¬£¬£¬£¬ÃÀ¸ß÷½«¼ÌÐø×¤×ãÈ«ÇòÊÓÒ°£¬£¬£¬£¬£¬£¬¾ÛÁ¦ÖйúÁ¢Ò죬£¬£¬£¬£¬£¬ÎªÈËÀ࿵½¡Ð¢Ë³ÊµÁ¦£¡

ÁªÏµÃÀ¸ß÷
Email: marketing@medicilon.com.cn
µç»°: +86 (21) 5859-1500£¨×Ü»ú£©
Ïà¹ØÐÂÎÅ
ÊãдÒÈÏÙ°©ÖÎÁÆÐÂÆªÕÂ:pHÖµµ÷¿ØÄÉÃ×Ò©ÎïÔËËͼ¼Êõ¿É¸ßЧɱËÀ°©Ï¸°û
2021-02-04
¿°ÈøË¹³ÇÍËÎéÎäÊ¿ÊÂÎñÒ½ÁÆÖÐÐĺͱ±´ï¿ÆËûÖÝ´óѧµÄÑо¿Ö°Ô±Éè¼ÆÁËÒ»ÖÖÐµķ½·¨À´ÔËËÍÒÈÏÙ°©Ò©Î£¬£¬£¬£¬£¬¿ÉÒÔʹ¶Ô¿¹ÕâÖÖ¼²²¡±äµÃÔ½·¢ÈÝÒס£¡£¡£½«°©Ö¢Ò©Îï·â×°ÔÚÄÉÃ׿ÅÁ£ÖпÉÒÔ¸üÓÐÓðÐÏòÖ×Áö£¬£¬£¬£¬£¬£¬Í¬Ê±ÓÖÄܹ»×èÖ¹¶ÔÉíÌåÆäËû²¿Î»±¬·¢Î£º¦£¬£¬£¬£¬£¬£¬¿ËÈÕ¸ÃÑо¿Ð§¹û½ÒÏþÔÚ·Ö×ÓÒ©¼ÁѧÔÓÖ¾ÉÏ¡£¡£¡£
Cell£ºÊ×´ÎÅжϳöÒÈÏÙ°©µÄDZÔÚÖÎÁưбê
2016-05-18
ÂéÊ¡×ÜÒ½Ôº(MGH)µÄÑо¿Ö°Ô±·¢Ã÷ÁËɱËÀ90%ÒÔÉÏ»¼ÕßµÄ×î³£¼ûÒÈÏÙ°©ÐÎʽµÄµÚÒ»¸öDZÔÚ·Ö×ÓÖÎÁưе㡣¡£¡£
ÒÈÏÙ°©»òÒÔ¶àÖÖÀàÐÍϸ°û¾ÙÐа©Ö¢À©É¢
2015-08-17
Ñо¿ÕßÌåÏÖ£¬£¬£¬£¬£¬£¬À´×ÔÔ­·¢ÐÔÖ×ÁöµÄϸ°ûÍùÍù»á¸üºÃµØ¸´ÖƺÍÉúÑÄ£¬£¬£¬£¬£¬£¬ËûÃÇÔÚÑо¿Öмì²âÁ˾ßÓвî±ðÒÅ´«×é³ÉµÄϸ°ûȺ£¬£¬£¬£¬£¬£¬Õâ¹ØÓÚ¸üºÃÃ÷È·´Î¼¶Ö×ÁöµÄ±¬·¢ÒÔ¼°ÆÊÎö°©Ö¢×ªÒƵĻúÌåÌṩÁËÒ»¶¨×ÊÖú¡£¡£¡£Îª´ËÑо¿Ö°Ô±¿ª·¢ÁËÒ»ÖÖСÊóÄ£×Ó£¬£¬£¬£¬£¬£¬KrasºÍp53»ùÒòµÄÍ»±ä»áÒý·¢¼òµ¥Ö×Áöϸ°ûȺÌåµÄ±¬·¢£¬£¬£¬£¬£¬£¬¶øÑо¿ÕßʹÓòî±ðÑÕÉ«µÄ±êÇ©¶ÔÕâЩϸ°ûȺÌå¾ÙÐбê¼Ç£¬£¬£¬£¬£¬£¬ºÍÈËÀà»úÌåÀàËÆ£¬£¬£¬£¬£¬£¬Ð¡Êó¾Í»áÔڴμ¶Î»µã±¬·¢Ö×Áö£¬£¬£¬£¬£¬£¬ºÃ±È¸ÎÔà¡¢·Î²¿µÈ¡£¡£¡£
¡Á
ËÑË÷ÑéÖ¤
µã»÷Çл»
¡¾ÍøÕ¾µØÍ¼¡¿¡¾sitemap¡¿