1. ¶àÈá±ÈÐÇ (DOX)
¶àÈá±ÈÐÇ (DOX) ÊÇÒ»ÖÖ¿¹ÉúËØ£¬£¬£¬×Ô 1960 ÄêÔÂÒÔÀ´Òѱ»ÆÕ±éÓÃ×÷»¯ÁƼÁ¡£¡£¡£¡£¡£¡£¶àÈá±ÈÐÇÊÇÒ»ÖÖ¸ßЧµÄÝì»·À໯ÁÆÒ©Î£¬£¬¿ÉÓÐÓÃÖÎÁƶàÖÖ¶ñÐÔÖ×Áö£¬£¬£¬µ«ÃÀÖÐȱ·¦µÄÊÇ»áÔÚÐí¶àÊÜÊÔÕßÖÐÒýÆðÐÄÔà¶¾ÐÔ¡£¡£¡£¡£¡£¡£
2. ÄÉÃ×½ð¸Õʯ (ND)
ÄÉÃ×½ð¸Õʯ (ND) ÊÇ×îÓÐǰ;µÄ»¯Ñ§ÁÆ·¨ÔØÌåÖ®Ò»£¬£¬£¬¿ÉÊÇ£¬£¬£¬ËüÃÇÍùÍù»áÔÚÖü´æÊ±»òÕßµ±Ì»Â¶ÓÚ pH Öµ»òÀë×ÓÇ¿¶ÈµÄÉÔ΢ת±äʱ±¬·¢Èº¼¯Ð§Ó¦¡£¡£¡£¡£¡£¡£
3. ÄÉÃ×½ð¸ÕʯºÍ¶àÈá±ÈÐǵϝºÏÎï(ND-DOX)
×÷ΪһÖÖÓÐÓÃÇÒÆÕ±éʹÓõϝÁƼÁ£¬£¬£¬¶àÈá±ÈÐÇÔÚÁÙ´²Ó¦ÓÃÖÐÒò¼ÁÁ¿¶¾ÐÔ¶øÓ°ÏìʹÓùæÄ££¬£¬£¬°üÀ¨ÀÛ»ýµÄÐÄÔà¶¾ÐԺ͹ÇËèÒÖÖÆ¡£¡£¡£¡£¡£¡£ µÍ¼ÁÁ¿»ò»ºÂýÊͷŶàÈá±ÈÐÇ¿ÉÒÔÔ¤·À´ËÀั·´Ó¦£¬£¬£¬´Ó¶øÊµÏÖºã¾Ã»¯ÁÆ¡£¡£¡£¡£¡£¡£ ÓÉÓÚȱ·¦ÌØÒìÐԺͰÐÏòµÝËÍ£¬£¬£¬ÄÉÃ×Ò©ÎïµÝËÍϵͳ¿ÉÓÃ×÷¿ËÑöÒ©ÐÔ¡£¡£¡£¡£¡£¡£ ÄÉÃ×½ð¸Õʯ¾ßÓиߵÄϸ°ûÎüÊÕÂʺ͵͵Äϸ°û¶¾ÐÔ£¬£¬£¬±ðµÄ£¬£¬£¬¶àÈá±ÈÐÇ¿ÉÒÔÔÚ¼îÐÔÌõ¼þÏÂͨ¹ýÎïÀíÎü¸½¿ÉÄæµØ¸ºÔص½ÄÉÃ×½ð¸ÕʯÉÏ¡£¡£¡£¡£¡£¡£ Òò´Ë£¬£¬£¬ÄÉÃ×½ð¸ÕʯÊÇÉè¼Æ¸ßЧҩÎïµÝËÍÄ˽×ÔØÌåºÍÖÎÁÆÏµÍ³µÄÓÐǰ;µÄ²ßÂÔ¡£¡£¡£¡£¡£¡£
±¬·¢ÄÍÒ©ºÍÒ©ÎïÍâÅÅÊǰ©Ö¢ÖÎÁƵÄÁ½¸öÖ÷ÒªÏÞÖÆÒòËØ¡£¡£¡£¡£¡£¡£ÄÉÃ×½ð¸ÕʯµÝËÍϵͳ¿ÉÒÔ×èÖ¹ÔËÊäÂѰ׵ÄÏûºÄ£¬£¬£¬²¢±£´æ×ã¹»Á¿µÄÒ©Îï̻¶ÓÚ¼²²¡²¿Î»¡£¡£¡£¡£¡£¡£
ÄÉÃ×½ð¸ÕʯºÍ¶àÈá±ÈÐǵϝºÏÎï(NDX)¿Éͨ¹ý½µµÍÔçÆÚéæÃüÂʺÍÒÖÖÆÖ×ÁöÉú³¤À´Ìá¸ßÖÎÁÆÐ§¹û£¬£¬£¬¶øµ¥¶À¸øÒ©ÔòûÓÐÏÔ×ŵÄÁÆÐ§£¬£¬£¬±ðµÄ£¬£¬£¬Ã»ÓÐÏÔ×ŵĹÇËèÒÖÖÆ¡£¡£¡£¡£¡£¡£ ÓëСÊó¸ÎÖ×ÁöºÍÈéÏÙ°©Ä£×ÓµÄͨÀý¶àÈá±ÈÐÇÁÆ·¨Ïà±È£¬£¬£¬NDX ¸ÄÉÆÏ¸°ûµòÍöºÍÖ×ÁöÉú³¤ÒÖÖÆ£¬£¬£¬Í¬Ê±½µµÍ¶¾ÐÔ¡£¡£¡£¡£¡£¡£ NDX µÝËÍϵͳ¿ÉÒÖÖÆÈéÏÙ°©¡¢×ªÒÆÐÔ¼¤ËØÄÑÖÎÐÔǰÏßÏÙ°©µÄ·Î×ªÒÆ£¬£¬£¬²¢ÓÐÖúÓÚïÔÌ»ñµÃ»¯ÁÆÁÆÐ§ËùÐèµÄ¶àÈá±ÈÐǼÁÁ¿¡£¡£¡£¡£¡£¡£ ÄÉÃ×½ð¸Õʯ¸øÒ©ÌåÍâºÍÌåÄÚÄ£×ÓµÄ×ÛºÏÆÀ¼ÛÅú×¢£¬£¬£¬ND-Ò©Îï¿ÉÒÔÑÓÉìÒ©ÎïÊÍ·Å£¬£¬£¬¼ÓËÙÖ×Áöϸ°ûµòÍö£¬£¬£¬ïÔ̹ÇËèÒÖÖÆµÈÈ«Éí¸±×÷Óᣡ£¡£¡£¡£¡£

Characterization of ND, DOX and NDX complex
4. ʹÓÃNa?ve beagle dog ÆÀ¹ÀÄÉÃ×½ð¸Õʯ-¶àÈá±ÈÐǸ´ºÏÎïµÄÇå¾²ÐÔ
ÔÚÕâÏîÑо¿ÖУ¬£¬£¬Ñо¿Ö°Ô±Ê¹ÓÃNa?ve Beagle DogÀ´ÆÀ¹ÀÄÉÃ×½ð¸ÕʯҩÎïµÝËÍÆ½Ì¨µÝËÍ DOX µÄÇå¾²ÐÔ¡£¡£¡£¡£¡£¡£ µÚ 1-3 ×éµÄÐÛÐÔÓ×ÁäNa?ve Beagle Dog»®·Ö¾²Âö×¢Éä DOX¡¢ND ºÍ NDX¡£¡£¡£¡£¡£¡£ µÚ 4 ×é´ÆÐÔÓ×ÁäNa?ve Beagle Dogͨ¹ý¾²Âö×¢Éä NDX¡£¡£¡£¡£¡£¡£ µÚ 5 ×éÐÛÐÔÓ×ÁäNa?ve Beagle Dogͨ¹ý¸ÎÞ²Âö×¢ÉäNDX¡£¡£¡£¡£¡£¡£ ËùÓÐÖÎÁÆ×é¾ùÒÔ 3.648 mg/kg µÄ¼ÁÁ¿Ë®Æ½¸øÒ©¡£¡£¡£¡£¡£¡£ ¸øÒ©ºó£¬£¬£¬¶¯ÎïËæºó½øÈëÊÓ²ì½×¶Î£¬£¬£¬ÒÔÆÀ¹ÀÆä¿µ½¡×´Ì¬µÄ¿É¼ûת±ä¡£¡£¡£¡£¡£¡£ ͬʱ£¬£¬£¬ÔÚ¸øÒ©Ç°ºóÊÕÂÞѪҺºÍÄòÒº¾ÙÐÐ×ÛºÏÆÊÎö¡£¡£¡£¡£¡£¡£ Ч¹ûÅú×¢µ¥¶ÀʹÓöàÈá±ÈÐÇ»áÒýÆðÑÏÖØµÄËðÉË£¬£¬£¬¶ø NDX ¿ÉÏÔ׿õÇá¶àÈá±ÈÐǵ;ÐÔ¡£¡£¡£¡£¡£¡£
Na?ve beagle dog ʵÑé²Ù×÷
´ËÏÎïʵÑéÊÇÓëÉϺ£ÃÀ¸ß÷
ÁÙ´²Ç°Ñо¿Æ½Ì¨×éÁªºÏ¾ÙÐеġ£¡£¡£¡£¡£¡£ 13 Ö» Na?ve Beagle Dog·ÖΪ 5 ×飬£¬£¬µ¥´Î¾²Âö×¢É䣨IV£©¸øÓè 1 mg/mL ¶àÈá±ÈÐÇ£¨µÚ 1 ×飩¡¢1 mg/mL ÄÉÃ×½ð¸Õʯ£¨µÚ 2 ×飩¡¢ NDX »ìÐüÒº£¨µÚ 3-5 ×飩¡£¡£¡£¡£¡£¡£ÎÞ¾úË® µÚ 1-4 ×é¾²Âö×¢É䣬£¬£¬µÚ5×é¸ÎÞ²Âö×¢Éä¡£¡£¡£¡£¡£¡£
µÚ 5 ×éµÄ¶¯Îï½ÓÊÜÁË HPV ²å¹ÜÊÖÊõ£¬£¬£¬²¢ÔÚ¾ÙÐÐÑо¿Ö®Ç°»Ö¸´¼¸Ìì¡£¡£¡£¡£¡£¡£ ƾ֤¸öÌåÌåÖØ¸øÓèÿֻÊÔÑ鶯ÎïµÄ¼ÁÁ¿Îª3.648mg/kg¡£¡£¡£¡£¡£¡£ ¸øÒ©µ±ÌìÕÉÁ¿ÌåÖØ²¢¼Í¼¡£¡£¡£¡£¡£¡£ÔÚ½ÓÏÂÀ´µÄÎåÌìÀ£¬£¬¶¯Îï¿ÉÒÔ×ÔÓÉÒûË®£¬£¬£¬µ«ÔÚÑо¿¿¢ÊÂʱÊÕÂÞѪÑù֮ǰ½ûʳסËÞ£¨ÖÁÉÙ 10 Сʱ£©¡£¡£¡£¡£¡£¡£
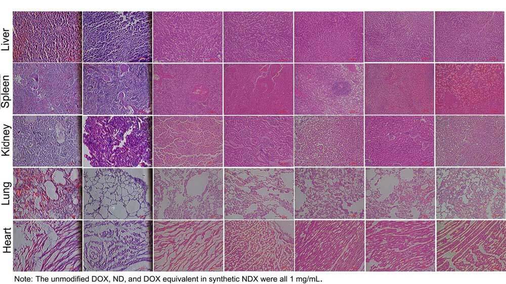
×éÖ¯²¡ÀíѧÆÊÎö
¶ÔÓöàÈá±ÈÐÇ¡¢ÄÉÃ×½ð¸ÕʯºÍ NDX ´¦Öóͷ£µÄNa?ve Beagle Dog¾ÙÐÐ×éÖ¯²¡ÀíѧÆÊÎö£¬£¬£¬²¢¶Ô¸ÎÔࡢƢÔà¡¢ÉöÔà¡¢·ÎºÍÐÄÔàµÄ×éÖ¯¾ÙÐÐËÕľ¾«ºÍÒÁºìȾɫ¡£¡£¡£¡£¡£¡£ Ñо¿Ö°Ô±·¢Ã÷ʹÓþ²Âö×¢ÉäµÄ¶àÈá±ÈÐÇºÍ NDX ×éÖ®¼ä±£´æÏÔ×Ųî±ð¡£¡£¡£¡£¡£¡£
¸ÎÔà×éÖ¯²¡ÀíѧÆÊÎöÅú×¢£¬£¬£¬Óà DOX ÖÎÁƵÄNa?ve Beagle DogÓиü´óµÄËðÉË¡£¡£¡£¡£¡£¡£ ËÀµÄNa?ve Beagle Dog¸ÎÔà½á¹¹ÔÓÂÒ£¬£¬£¬ÓгöѪ£¬£¬£¬¸Îϸ°ûÏÔ×űäÐÔ£¬£¬£¬ÓÐÑ×֢ϸ°û¡£¡£¡£¡£¡£¡£ÓöàÈá±ÈÐÇÖÎÁƵĴæ»îµÄNa?ve Beagle DogÔÚ¸ÎÔàÖÐÒ²ÓбäÐÔºÍÑ×֢ϸ°û¡£¡£¡£¡£¡£¡£NDXHPV×éÒ²ÓÐһЩÉÔ΢µÄÍË»¯ºÍ½á¹¹ÔÓÂÒ¡£¡£¡£¡£¡£¡£ ND-IV ºÍ NDX-IV ×éµÄ¸ÎÔà½á¹¹×ª±äÉÔ΢»òÏÕЩÕý³£¡£¡£¡£¡£¡£¡£ Æ¢Ôà·½Ãæ£¬£¬£¬ÓöàÈá±ÈÐÇ´¦Öóͷ£µÄNa?ve Beagle Dog·ºÆð½á¹¹ÔÓÂÒ£¬£¬£¬ÓÃÄÉÃ×½ð¸Õʯ´¦Öóͷ£µÄNa?ve Beagle Dog»ù±¾ÉÏÊǺìË裬£¬£¬±äÐÔÏÔ×Å¡£¡£¡£¡£¡£¡£ ±ðµÄ£¬£¬£¬Óà NDX-HPV ÖÎÁƵÄNa?ve Beagle DogÌåÏÖ³öÆ¢ÔàѪñ¼À©ÕźÍÍË»¯¡£¡£¡£¡£¡£¡£ NDX-IV×éµÄÆ¢Ôàת±äÉÔ΢¡£¡£¡£¡£¡£¡£
ÉöÔà×éÖ¯ÇÐÆ¬ÏÔʾ£¬£¬£¬ÓöàÈá±ÈÐÇÖÎÁƵÄNa?ve Beagle DogÏÔʾѪ¹ÜÓÐѪðöºÍÑ×֢ϸ°û¡£¡£¡£¡£¡£¡£ ÓÃÄÉÃ×½ð¸Õʯ´¦Öóͷ£¹ýµÄNa?ve Beagle DogµÄÉöÔà·ºÆðÇá¶ÈÖÁÖжȱäÐÔ£¬£¬£¬¼äÖÊÏËά·ºÆðÔöÉú¡£¡£¡£¡£¡£¡£ NDX-HPV×éµÄС¹Ü²»¹æÔò¡£¡£¡£¡£¡£¡£ ÔÚÓà NDX-IV ÖÎÁƵÄNa?ve Beagle DogµÄÉöÔàÖнöÊӲ쵽ϸСת±ä¡£¡£¡£¡£¡£¡£
·Î²¿×éÖ¯ÇÐÆ¬½øÒ»²½ÏÔʾ£¬£¬£¬ÓÃDOXÖÎÁƵÄNa?ve Beagle Dog·ÎÅÝÄÚÓдó×ÚÉøÍ¸Î£¬£¬·ÎëϸѪ¹ÜÄÚÓгöѪºÍÓÙÖÍ¡£¡£¡£¡£¡£¡£ NDXHPV×é·ÎÅݱÚÓÐÑ×ÐÔ±äÐÔ£¬£¬£¬·ÎÅÝÉÏÆ¤ÔöÉú£¬£¬£¬¶øND-IVºÍNDXIV×éNa?ve Beagle Dog·Î½öÓÐÇá¶È²¡±ä¡£¡£¡£¡£¡£¡£
ÓÃNDX-IVÖÎÁƵÄNa?ve Beagle DogµÄÐÄÔàδ¼ûÏÔ×ÅÒì³££¬£¬£¬¶øÓÃDOX-IV¡¢ND-IVºÍNDX-HPVÖÎÁƵÄNa?ve Beagle DogÏÔʾÐļ¡Ï¸°û±ä±¡¡¢¼äÖÊË®Öס¢Ðļ¡Ñ×µÄÖ¤¾Ý¡£¡£¡£¡£¡£¡£ ×ÜÖ®£¬£¬£¬»ùÓÚ×éÖ¯ÐÎ̬ѧµÄЧ¹ûÅú×¢£¬£¬£¬¹ØÓÚÓà NDX-IV ÖÎÁƵÄNa?ve Beagle Dog£¬£¬£¬Ã¿¸öÆ÷¹ÙµÄ²¡±ä¶¼ÊÇÉÔ΢µÄ¡£¡£¡£¡£¡£¡£ ÆäËûÖÎÁÆ×éµÄ¸Î¡¢Æ¢¡¢Éö¡¢·Î¡¢ÐÄÔà¾ùÓнÏÏÔ×ŵÄÒ»¶¨Ë®Æ½µÄËðÉË¡£¡£¡£¡£¡£¡£

Histopathology of dogs treated with ND, NDX and DOX. Representative
ѪҺѧÆÊÎö
ѪҺѧÆÊÎöÅú×¢£¬£¬£¬ND-IV-M¡¢NDX-IV-M¡¢NDX-IV-F ºÍ NDX-HPV-M ²»»áÒýÆð°×ϸ°û¡¢ÑªÐ¡°å¼ÆÊý¡¢ÖÐÐÔÁ£Ï¸°ûºÍÁܰÍϸ°ûµÄÏÔ×Åת±ä¡£¡£¡£¡£¡£¡£ ͬʱ£¬£¬£¬ÄÉÃ×½ð¸Õʯ»ò NDX ²»»áÒýÆðÑǼ±ÐÔÑ×Ö¢¡£¡£¡£¡£¡£¡£ ƽ¾ùºìϸ°ûѪºìÂѰ×Çå¾²¾ùºìϸ°ûѪºìÂѰ×Ũ¶ÈÆÊÎöÅú×¢£¬£¬£¬DOX¡¢ND ºÍ NDX ×éÔÚÕý¹ßÀýÄ£ÄÚÏÕЩûÓв¨¶¯¡£¡£¡£¡£¡£¡£ ÕâЩЧ¹ûÅú×¢£¬£¬£¬ÔÚÄÉÃ×½ð¸ÕʯºÍ NDX ×éÖУ¬£¬£¬IV ºÍ HPV ×¢Éä¾ùûÓÐÏÔ×ŵÄѪϸ°ûÍêÈ«ÆÆËð¼£Ï󡣡£¡£¡£¡£¡£

Complete hematology profiles of dogs treated with ND, NDX and DOX.
ÄòÒºÆÊÎö
ËùÓÐNa?ve Beagle DogµÄÄòÒºÑù±¾ÔÚ¸øÒ©Ç°ºó¾ÙÐÐÁ˲âÊÔ¡£¡£¡£¡£¡£¡£ ÄòÒºpHÖµÊÇÉöÔàµ÷ÀíËá¼îƽºâµÄÖ¸±ê¡£¡£¡£¡£¡£¡£ Êý¾ÝÏÔʾ£¬£¬£¬ÄòÒº pH ÖµºÍÄòÒº±ÈÖØÔÚ¸øÒ©Ç°ºóûÓÐÏÔ×Ų¨¶¯¡£¡£¡£¡£¡£¡£ µ«NDXM×éÄòÂѰ×ÏÔ×ÅÉý¸ß£¬£¬£¬ÌáÐÑÉöÑ×±¬·¢¡£¡£¡£¡£¡£¡£ ×¢ÉäÄÉÃ×½ð¸ÕʯÈÜÒº36СʱºÍ60СʱºóNa?ve Beagle DogµÄÄòÒºÌåÏÖ³öÏàͬµÄת±äÇ÷ÊÆ¡£¡£¡£¡£¡£¡£ ÈÈÁ¿ÊÍ·Å·åÃæ»ýËæÊ±¼äÔöÌíÅú×¢¸ü¶àµÄ ND ±»ÇãÔþ¡£¡£¡£¡£¡£¡£ ¸üÖ÷ÒªµÄÊÇ£¬£¬£¬Ñо¿Ö°Ô±Í¨¹ý͸Éäµç×ÓÏÔ΢¾µ£¨TEM£©ÊÓ²ìÁËÄÉÃ×½ð¸ÕʯµÄ¿ÅÁ££¬£¬£¬Õâ֤ʵÁËÄÉÃ×½ð¸Õʯ¿ÉÒÔËæÄòÒºÇãÔþ¡£¡£¡£¡£¡£¡£

Urinalysis analysis
×ܽá
ËäÈ»¶àÈá±ÈÐÇ (DOX) ÊÇÖÎÁư©Ö¢×î³£¼ûµÄ»¯ÁÆÒ©ÎïÖ®Ò»£¬£¬£¬µ«ÓÉÓÚ¼ÁÁ¿Ïà¹ØµÄ¶¾ÐÔ£¬£¬£¬±ØÐèÉóÉ÷¹ÜÀí DOX µÄʹÓᣡ£¡£¡£¡£¡£¾Ý±¨µÀ£¬£¬£¬Óë DOX (NDX) Á¬ÏµµÄÄÉÃ×½ð¸Õʯ (ND) Ò©ÎïµÝËÍϵͳ¿ÉÔöǿСÊó°©Ö¢Ä£×ÓµÄÖÎÁÆÐ§¹û²¢Ï÷Èõ¶¾ÐÔ¡£¡£¡£¡£¡£¡£±ðµÄ£¬£¬£¬ÆÕ±éµÄÉúÎïÏàÈÝÐÔÑо¿Åú×¢£¬£¬£¬·ÇÈËÀàÁ鳤ÀදÎïËÆºõ¶Ô ND ¾ßÓÐÓÅÒìµÄÄÍÊÜÐÔ¡£¡£¡£¡£¡£¡£ÔÚNDXÁÙ´²×ª»¯Ö®Ç°£¬£¬£¬ÓÐÐëÒªÑéÖ¤NDÔÚ´óÐͲ¸È鶯ÎïÖеÄÇå¾²ÐÔ¡£¡£¡£¡£¡£¡£´óÐͶ¯ÎïµÄÄÉÃ×Ò©ÎïÇå¾²ÐÔÑо¿²¢²»³£¼û£¬£¬£¬ÕâÏîÊÂÇé´ú±íÁ˽«ÔçÆÚÏ£ÍûÅþÁ¬¹âÁÙ´²ÆÀ¹ÀµÄÒªº¦Àï³Ì±®¡£¡£¡£¡£¡£¡£ÔÚ´Ë£¬£¬£¬NDs ×÷ΪҩÎïÔËËÍÆ½Ì¨µÄÇå¾²ÐÔÔÚ Na?ve Beagle DogÖоÙÐÐÁËÆÀ¹À¡£¡£¡£¡£¡£¡£¸ÃÑо¿Ê¹Óà DOX¡¢ND¡¢ºÍ NDX ÔÚË«ÐÔ±ð¶¯ÎïÄ£×ÓÖÐʹÓþ²Âö (IV) ×¢ÉäºÍ¸ÎÞ²Âö (HPV) ×¢ÉäÒªÁì¡£¡£¡£¡£¡£¡£Ò»Á¬ 5 Ìì¼à²âNa?ve Beagle DogµÄ¿µ½¡±íÐÍת±ä¡£¡£¡£¡£¡£¡£»£»£»£»£»ñµÃµÄѪҺºÍÄòÒºÓÃÓÚÁÙ´²²¡ÀíѧÑо¿¡£¡£¡£¡£¡£¡£Ð§¹ûÅú×¢£¬£¬£¬ND ¸øÒ©Æ½Ì¨ÏÔ׿õÇáÁË Na?ve Beagle DogÄ£× DOX ¶¾ÐÔ¡£¡£¡£¡£¡£¡£±¾Ñо¿Îª´óÐͶ¯ÎïˮƽµÄ NDX ÖÎÁƵÄÁÙ´²Ç°Çå¾²ÐÔÆÀ¹ÀÌṩָµ¼¡£¡£¡£¡£¡£¡£
±¾Ñо¿×ÛºÏÆÀ¹ÀÁËʹÓà DOX¡¢ND ºÍ NDX ´¦Öóͷ£µÄË«ÐÔ±ðNa?ve Beagle DogÄ£×Ó¡£¡£¡£¡£¡£¡£ ±ðµÄ£¬£¬£¬ÑéÖ¤ÁËͬÐÔ±ðNa?ve Beagle DogÖ®¼äµÄ HPV ºÍ IV ×¢Éä¡£¡£¡£¡£¡£¡£ ²î±ð¸øÒ©´¦Öóͷ£µÄÅäºÏÑо¿Ð§¹ûÅú×¢£¬£¬£¬¶àÈá±ÈÐǵ¥¶ÀʹÓûá¶ÔNa?ve Beagle DogµÄ¸ÎÔࡢƢÔà¡¢·ÎºÍÉöÔàÆ÷¹ÙÔì³ÉË𺦡£¡£¡£¡£¡£¡£ ×éÖ¯ÐÎ̬ѧЧ¹ûÅú×¢£¬£¬£¬NDX-IV×éûÓÐÏÔ×ŵį÷¹ÙËðÉË¡£¡£¡£¡£¡£¡£ NDX-HPV ×éͨ¹ý×éÖ¯ÐÎ̬ѧºÍѪҺÆÊÎöÅú×¢¶Ô¸ÎÔàºÍÆ¢ÔàÓÐÉÔ΢µ«¿ÉÊӲ쵽µÄ¸±×÷Óᣡ£¡£¡£¡£¡£ ±ðµÄ£¬£¬£¬Ïë·¨ÔÚÄòÒºÖмì²âµ½ ND£¬£¬£¬ÕâÅú×¢Æä´úл;¾¶¿ÉÄÜÊÇͨ¹ýÃÚÄòϵͳ¡£¡£¡£¡£¡£¡£ ÕâЩÑо¿Îª NDX ÖÎÁƵÄÁÙ´²Ç°Çå¾²ÐÔÆÀ¹ÀÌṩÁËÖ÷Òª»ù´¡¡£¡£¡£¡£¡£¡£ Ϊ°©Ö¢»¼ÕßÓÖÌṩÁËÒ»ÖÖеÄÓÐǰ;µÄÁÙ´²Ìæ»»¼Æ»®¡£¡£¡£¡£¡£¡£
²Î¿¼ÎÄÏ×:
[1] Raven El Khoury , et al. Demonstration of doxorubicin's cardiotoxicity and screening using a 3D bioprinted spheroidal droplet-based system. RSC Adv. 2023 Mar 13;13(12):8338-8351. doi: 10.1039/d3ra00421j. eCollection 2023 Mar 8.
[2] Moustafa S Ali, et al. Towards more efficient inhalable chemotherapy: Fabrication of nanodiamonds-releasing microspheres. Int J Pharm. 2022 Oct 15;626:122169. doi: 10.1016/j.ijpharm.2022.122169.
[3] Liping Wang, et al. Safety evaluation of nanodiamond-doxorubicin complexes in a Na?ve Beagle canine model using hematologic, histological, and urine analysis. Nano Research. 2022.15: 3356¨C3366.
Ïà¹ØÍÆ¼ö:

ÃÀ¸ß÷ҩÎïÇå¾²ÐÔÆÀ¼ÛЧÀÍ
»ùÓÚ¹ú¼ÊÈÏÖ¤µÄAAALACÖÊÁ¿±ê×¼ºÍÒÀ´Ó¹ú¼Ê¡¢º£ÄÚGLP¹æ·¶µÄÒ©ÎïÇå¾²ÐÔÆÀ¼ÛÖÊÁ¿¹ÜÀíϵͳ¡£¡£¡£¡£¡£¡£×Ô2008ÄêÒÔÀ´£¬£¬£¬ÎÒÃÇÒ»Á¬¶Ô±ê¹ú¼ÊË®×¼£¬£¬£¬¸ßÖÊÁ¿µÄÍê³ÉGLPµÄÇå¾²ÐÔÆÀ¼ÛЧÀÍ£¬£¬£¬½¨ÉèÁ˺ã¾ÃµÄÆ·ÅÆÐ§Ó¦¡£¡£¡£¡£¡£¡£ÃÀ¸ß÷¿ÉÒÔ¿ªÕ¹º¸Ç¶à¶¾ÐÔÖÕµãµÄϵͳÆÀ¼ÛЧÀÍ£¬£¬£¬²¢ÓµÓйú¼ÊÈϿɵIJ¡ÀíѧÑо¿Ö§³ÖÃÀ¸ß÷Çå¾²ÐÔÆÀ¼ÛÑо¿¡£¡£¡£¡£¡£¡£

ÃÀ¸ß÷ҩ´ú¶¯Á¦Ñ§Ð§ÀÍ
ÃÀ¸ß÷ҩ´ú¶¯Á¦Ñ§ÊµÑéÊÒÒѾͨ¹ýNMPAµÄGLPÈÏÖ¤£¬£¬£¬ÊµÑéÑо¿×ñÕÕICH¡¢NMPAºÍFDAµÄÖ¸µ¼ÔÔò£¬£¬£¬¿ÉÒÔÆ¾Ö¤¿Í»§ÐèÇóÉè¼Æ²¢¿ªÕ¹ÌåÄÚ¡¢ÌåÍâÒ©´ú¶¯Á¦Ñ§ÊÔÑ飬£¬£¬Îª¿Í»§ÌṩһÕûÌ×Ò©´ú¶¯Á¦Ñ§ÆÀ¼ÛºÍÓÅ»¯Ð§ÀÍ¡£¡£¡£¡£¡£¡£

ÃÀ¸ß÷ÁÙ´²²¡ÀíÑо¿Ð§ÀÍ
ÃÀ¸ß÷ÁÙ´²²¡ÀíÊÒΪÁ¥ÊôÓÚ²¡ÀíÑо¿²¿µÄGLPҽѧĥÁ·ÊµÑéÊÒ£»£»£»£»£»ÊµÑéÊÒÖ÷ÒªÈÏÕæ¼ì²â¶àÖÖ¶¯ÎïÉúÎﻯѧ¡¢ÑªÒºÑ§¡¢ÄýѪ¡¢ÄòÒºÆÊÎö¡¢ÄòÒº³ÁÔü¾µ¼ì¡¢ÁܰÍϸ°û·ÖÐÍ¡¢ÌåÍâÈÜѪ¡¢¹ÇËèͿƬ¾µ¼ìÒÔ¼°¶¯ÎïÌå¼ìµÈÏîÄ¿£¬£¬£¬Îª¶¯ÎïÊÔÑéÌṩ׼ȷ¿ÆÑ§µÄÄ¥Á·ÒÀ¾Ý¡£¡£¡£¡£¡£¡£