ÃÀ¸ß÷
ÓªÒµ×Éѯ
Öйú£º
Email: marketing@medicilon.com.cn
ÓªÒµ×ÉѯרÏߣº400-780-8018
£¨½öÏÞЧÀÍ×Éѯ£¬£¬£¬£¬£¬£¬ÆäËûÊÂÒËÇ벦´ò´¨É³×ܲ¿µç»°£©
´¨É³×ܲ¿µç»°: +86 (21) 5859-1500
ÍâÑó£º
+1(781)535-1428(U.S.)
0044 7790 816 954 (Europe)
Email:marketing@medicilon.com



ÎĵµÏÂÔØ
ÃÀ¸ß÷ÁÙ´²²¡ÀíʵÑéÊÒ
ÁÙ´²²¡ÀíʵÑéÊҵļì²âЧÀÍ

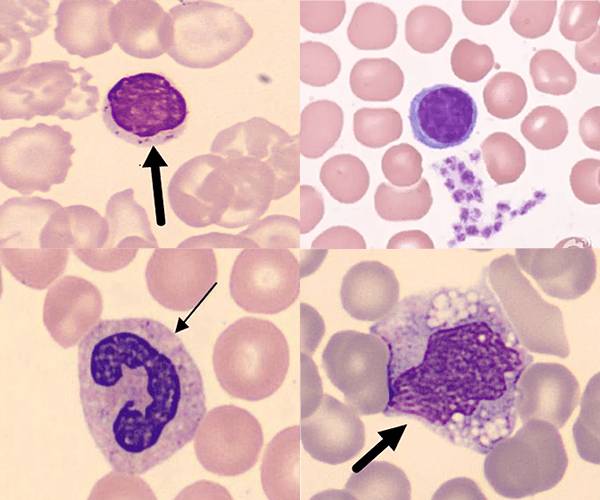
ѪҺѧÆÊÎö
Ѫϸ°ûÆÊÎöÊÇѪҺѧĥÁ·µÄÒ»¸öÖ÷Òª¼ì²âÏîÄ¿£¬£¬£¬£¬£¬£¬ÎªÌá¸ß¼ì²âЧÂÊ£¬£¬£¬£¬£¬£¬ÊµÑéÊÒʹÓÃѪҺÆÊÎöÒÇÁ÷Ë®ÏßÀ´¾ÙÐмì²â¡£¡£¡£¡£ËùʹÓõÄSYSMEX XN-2000vÈ«×Ô¶¯ÑªÒºÆÊÎöÒǽÓÄÉÁ÷ʽϸ°ûÁ¬Ïµ¼¤¹â¼¼Êõ¡¢µç×迹·¨ÆÊÎöÒªÁ죬£¬£¬£¬£¬£¬¼ì²âЧ¹û׼ȷ¿É¿¿¡£¡£¡£¡£

ÄýѪÆÊÎö
ÄýѪ¹¦Ð§ÊÇѪҺÓÉÒºÌå״̬ת±äΪÄý½º×´Ì¬µÄÀú³Ì£¬£¬£¬£¬£¬£¬´ËÀú³ÌÊÇÓÉһϵÁÐÄýѪÒò×Ó¼ÓÈëµÄ¡¢ÖØ´óµÄø´Ù·´Ó¦ºÍ·Ö×Ó¾ÛºÏÀú³Ì¡£¡£¡£¡£È«×Ô¶¯ÄýѪÆÊÎöÒÇÖ÷ÒªÓÃÓÚÕÉÁ¿ÊµÑ鶯ÎïѪ½¬Ö¹ÑªÓëѪ˨·Ö×Ó±ê¼ÇÎïµÄ¼ì²â£¬£¬£¬£¬£¬£¬ÕâЩָ±êÓëʵÑ鶯ÎïÖÖÖÖ¼²»¼ÓÐ×ÅÇ×½üÁªÏµ£¬£¬£¬£¬£¬£¬È綯ÂöÖàÑùÓ²»¯£¬£¬£¬£¬£¬£¬ÐÄÄÔѪ¹Ü¼²²¡¡¢ÌÇÄò²¡¡¢ÐÂÎÅÂöѪ˨Ðγɵȡ£¡£¡£¡£
ÁÙ´²²¡ÀíʵÑéÊÒËùʹÓõÄSYSMEX CS-5100È«×Ô¶¯ÄýѪÆÊÎöÒÇ£¬£¬£¬£¬£¬£¬ÊÇÏÖÔÚÊÐÃæÉϽÏΪ¾«²ÊµÄ¸ßËÙÆÊÎöϵͳ£¬£¬£¬£¬£¬£¬¸üÊǿɿ¿ËÝÔ´µÄÍêÕûÅäÌ×¼ì²âϵͳ¡£¡£¡£¡£

ÄòÒºÆÊÎö
ÄòҺͨÀýÆÊÎöÊÇÈý´óͨÀýÄ¥Á·ÖеÄÒ»Ï£¬£¬£¬£¬£¬×÷ÎªÉøÍ¸Îï¼ì²é£¬£¬£¬£¬£¬£¬ÄòÒºÆÊÎöЧ¹û¿É·´Ó¦»úÌåµÄ´úл״̬£¬£¬£¬£¬£¬£¬ÊÇÐí¶à¼²²¡Õï¶ÏµÄÖ÷ÒªÖ¸±ê£¬£¬£¬£¬£¬£¬Ò²ÊÇÉöÔà»òÄò·¼²²¡µÄÕ÷Õס£¡£¡£¡£²»ÉÙÉöÔಡ±äÔçÆÚ¾Í¿ÉÒÔ·ºÆðÂѰ×Äò»òÕßÄò³ÁÔüÖзºÆðÓÐÐÎÒòËØ¡£¡£¡£¡£
ÃâÒ߯ÊÎö
ÃâÒ߯ÊÎöÊÇʹÓÿ¹ÔÓ뿹ÌåÔÚÌåÍâÌØÒìÐÔÁ¬Ïµ£¬£¬£¬£¬£¬£¬ÔÙʹÓÃÁ÷ʽϸ°ûÒÇÀ´¼ì²â¡¢ÆÊÎöËùÐèÎïÖʵÄÒªÁì¡£¡£¡£¡£ÔËÓÃÁ÷ʽϸ°ûÊõ¾ÙÐÐÁܰÍϸ°ûÑÇȺÆÊÎöÊÇÒ©ÎïÇå¾²ÐÔÆÀ¼ÛÑо¿Ö÷ÒªµÄ¼ì²âÏîÄ¿¡£¡£¡£¡£ÁÙ´²²¡ÀíʵÑéÊÒÁ÷ʽϸ°ûÒÇÖ÷ÒªÓÃÓÚ¼ì²â¶¯ÎïѪϸ°ûµÄÁܰÍϸ°û±íÐÍÆÊÎö¡£¡£¡£¡£Í¨Ì«¹ýÎö¸÷¸öÃâÒßϸ°ûȺµÄÊýÄ¿ºÍ¹¦Ð§£¬£¬£¬£¬£¬£¬·´Ó¦³ö»úÌåÃâÒßϵͳµÄת±ä¡£¡£¡£¡£


BD FACSLyric Á÷ʽϸ°ûÒÇÉèÖÃ3¼¤¹â12É«£¬£¬£¬£¬£¬£¬¿ÉÒÔ´øÀ´¸ü¸ßЧ¼ì²âËÙÂʺ͸üÎÞаµÄÅäÉ«¼Æ»®£¬£¬£¬£¬£¬£¬¸ü¾ßЧÂÊÓëÖÇÄÜ»¯ÐÔµÄ×Ô¶¯½øÑùϵͳ£¬£¬£¬£¬£¬£¬¿ÉÑ¡ÔñÊԹܼܻò96¿×°å¾ÙÐÐÒ»Á¬½øÑùºÍÊý¾ÝÊÕÂÞ£¬£¬£¬£¬£¬£¬¿ÉµÖ´ï35000events/sec¸ü¾«×¼µÄ¹â·×ÔÎÒµ÷Àí£¬£¬£¬£¬£¬£¬FACSLyric¾ßÓÐ60ÌìÒ»´ÎµÄÓ«¹âÅâ³¥ÖµµÄ¸üй¦Ð§¡£¡£¡£¡£¸üÏȽøµÄ²Ù×÷½çÃæ£¬£¬£¬£¬£¬£¬¿Éʵʱ¼à²âÿһ¸öÑù±¾µÄ¼ì²â״̬ºÍ¼ì²âÖ¸±ê¡£¡£¡£¡£

Éú»¯ÆÊÎö
ÁÙ´²Éú»¯Ö¸±êÖ÷ÒªÓÃÀ´¼ì²â̼ˮ»¯ºÏÎï¡¢Ö¬Àà¡¢ÂѰ×ÖÊ¡¢ÄòÒº¡¢¸Îµ¨¡¢ÐÄѪ¹Ü¡¢¼¡È⡢賦µÀϵͳµÄ´úл¡£¡£¡£¡£ÕâЩ¼ì²âÖ¸±êÔÚÒ©ÎïÁÙ´²Ç°Ñо¿Öз´Ó¦Á˶Զ¯Îï»úÌå×ܵĴúл¡¢ÓªÑøºÍ¿µ½¡×´Ì¬µÄÓ°Ïì¡£¡£¡£¡£
È«×Ô¶¯Éú»¯ÆÊÎöÒǽÓÄÉÄ£¿£¿£¿£¿£¿é»¯²¢ÐÐÊÂÇ飬£¬£¬£¬£¬£¬¿É¿ìËÙÍê³É¼ì²â²¢±¨¸æÊý¾Ý£»£»£»£»ÓиüÎȹ̵ÄNa, K, CIµç¼«ÏµÍ³£¬£¬£¬£¬£¬£¬×ÔÁ¦µç¼«£¬£¬£¬£¬£¬£¬Ê¹Ñù±¾¼ì²âÔ½·¢¾«×¼£»£»£»£»ÒÇÆ÷ÄÚÖúãÎÂҺѻ·µÄ¸Éʽ·õÓýϵͳʹοظü׼ȷ¡¢Îȹ̣¬£¬£¬£¬£¬£¬°ü¹Ü¼ì²âÊý¾ÝµÄ׼ȷÐÔ¡£¡£¡£¡£4000¹â¶È·¨²âÊÔ/Сʱ£¬£¬£¬£¬£¬£¬900µç½âÖʲâÊÔ/Сʱ(Àë×ÓÑ¡Ôñµç¼«·¨)£¬£¬£¬£¬£¬£¬¿Éͬʱ¾ÙÐÐ 120¸öÆÊÎöÏîÄ¿¡£¡£¡£¡£ÔöÌí×ÔÁ¦Öزâ¹ìµÀ£¬£¬£¬£¬£¬£¬Ë«½øÑùϵͳÖÜȫ֪×ãÐèÒª£¬£¬£¬£¬£¬£¬¸üÀû±ã£¬£¬£¬£¬£¬£¬¸üÎÞа£¬£¬£¬£¬£¬£¬¸üÇå¾²¡£¡£¡£¡£




Ïà¹ØÊµÑéÊÒ













Ïà¹ØÎÄÕÂ